Accessible Version
Gladnick Family & Cosmetic Dentistry
A Great Dentist

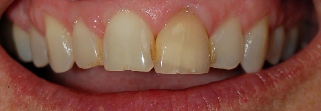
Internal Bleaching

Jeannie was concerned with the darkness on her front tooth that had root canal treatment decades ago. She was happy with the brightness of the other teeth in her smile, but that one front tooth just didn't match. Over the course of four painless 20-minute appointments, Jeannie's tooth was returned to its natural color and is a great fit for the rest of the smile.

Related Services:

Internal Bleaching
Before yellowed teeth | Rockville, MD | Gladnick Family & Cosmetic Dentistry After internal bleaching | Rockville, MD | Gladnick Family & Cosmetic Dentistry
Not finding what you need?
If you have difficulty using our website, please email us or call us at (301) 963-0800
View the ADA Accessibility Statement
Privacy Policy