Internal Tooth Bleaching in Rockville, MD
Why are my teeth discolored?
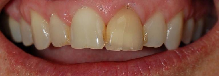
As a patient interested in whitening your smile, it can be difficult to know where to start. There are seemingly endless advertisements on TV, and many companies offer products that all claim to be better than each other. Many of these products work very well, and we offer some of them right here in our own office. However, they only work for natural teeth with living, healthy nerves. In teeth with healthy nerves, discoloration is caused by the foods we eat and the beverages we drink (Hello, Merlot!), so the darkness that we see is coming from that outermost layer of enamel. In teeth that have had a history of large cavities, trauma, or root canal treatment, the discoloration is actually coming from the inside of the tooth. In these cases, even though the tooth looks much darker, there actually may be nothing at all wrong with the enamel. So traditional whitening techniques like bleaching trays and strips or whitening pens or toothpaste will have no effect in these cases.
Let’s see if this sounds like you: You’re 50 years old, and for the most part, you like the way that your teeth look. You brush and floss regularly and you use your bleaching trays every now and then, but there is just one tooth that looks darker than the others. And it’s your front tooth. Come to think of it, it’s the same tooth that was root canal treated 35 years ago after you took an elbow to the face in a game of basketball. You’ve tried every whitening toothpaste out there, but you just can’t get this one as light as
the rest!
That sounds like the same issue I have! How can I fix it?
While the ages of the patients and the sources of the trauma might vary, the frustration is often the same. The good news is that even though many of the usual treatments aren’t effective, there is one that has had great success. Internal tooth bleaching, or non-vital bleaching, is used only in teeth that have had a history of root canal treatment. In this procedure, we remove some of the filling material that was used for the root canal procedure and replace it with a whitening solution. The whitening solution breaks up the large, dark-pigmented organic molecules into smaller molecules that are much lighter in color. After just a few weeks, the dark tooth that has been bothering you for years can look like the other teeth that you love. Once the whitening is completed, a new filling is placed in the tooth, you are good to go!
Internal tooth bleaching sounds right for me, what should I do?
There are some instances in which internal bleaching will not be effective, and other treatments such as crowns or veneers are the only way to improve the color of the tooth. While predictable and safe, those treatments require the removal of otherwise healthy tooth structure. If we can avoid that through a more conservative treatment and still achieve a great result, even better! Do you have a front tooth that looks darker than the others? Give Gladnick Family & Cosmetic Dentistry in the Shady Grove neighborhood of Rockville a call today at (301) 963-0800 and schedule an internal bleaching consult in Rockville, MD!
Why Choose Internal Bleaching?
Do you have a tooth that stands out because it’s darker than the other ones? This can be embarrassing, and when regular whitening treatments can’t help, internal bleaching may be an option. This targeted treatment option can whiten your tooth from the inside out, giving you the smile you deserve. Some of the best reasons to explore internal bleaching include the following:
Targets a Single Tooth
If you have a tooth that has experienced trauma or root canal treatment, internal bleaching can restore it to its natural color.
Works from the Inside
This innovative treatment option places a whitening agent inside your tooth to break down deep discoloration.
Restores Your Appearance
Once your internal bleaching treatment is complete, no one will be able to tell which tooth was affected.
Provides a Cost-Effective Option
When all you need is color correction, internal bleaching is often more affordable than dental crowns or veneers.
Frequently Asked Questions
Teeth whitening is an extremely popular way to whiten and brighten your teeth, but what if professional whitening treatments work on most but not all of your teeth? If this has happened to you, internal bleaching may be a treatment option. Keep reading to learn more about it.
Teeth Whitening vs. Internal Bleaching: What's the Difference?
The main difference between teeth whitening and internal bleaching is that teeth whitening occurs externally on all your teeth simultaneously, while internal bleaching usually targets one tooth from the inside.
Teeth whitening uses custom whitening trays and gel to whiten your teeth from the outside.
Internal bleaching is used on teeth discolored from root canal therapy or trauma. We will remove some of the dark filling material inside your tooth and replace it with a whitening solution to break up the dark molecules. Once the larger molecules are smaller, they will be lighter, making your tooth lighter. We will place a new filling in your tooth to finish the procedure.
Need More Information about Internal Bleaching?
If you have questions for your Rockville dentist about teeth whitening or internal bleaching, contact the dental team at Gladnick Family & Cosmetic Dentistry! We will happily answer your questions and help you form a cosmetic treatment plan. Contact us at (301) 963-0800.
Meet Our Doctors:
Dr. Thomas B. Gladnick
Dr. Thomas B. Gladnick, originally from Newark, Delaware, graduated from the University of Delaware with a degree in Biology and earned his Doctor of Dental Medicine degree from Temple University in Philadelphia, Pennsylvania.
Dr. Tommy spent ...
Dr. Elizabeth P. Gladnick
Dr. Elizabeth P. Gladnick was born and raised in Massachusetts. She received her Bachelor of Science degree in Psychology from Pennsylvania State University and earned her Doctor of Dental Medicine degree from Temple University in ...
